全国统一心理援助热线:12356
医院新闻
时间:2023-06-20 浏览:6932次
“工欲善其事,必先利其器”。为更好地满足患者就医、体检需求,提高疑难病例的确诊率,近日,呼伦贝尔市第三人民医院新引进了飞利浦全身应用超声诊断系统--飞利浦领鉴EPIQ7,这标志着医院超声诊断水平又上了一个新台阶。

飞利浦EPIQ7超声诊断系统代表了超声诊断系统的新发展方向。具有高清晰度、高分辨率、高精确度、高成像速度以及对血流信号的高敏感性。

该超声诊断系统采用了业内领先的nSightPro平台、纯净波单晶体探头、微细血流显像等技术,为超声医生诊断提供实时、快速、清晰、内容丰富的超声图像。对小儿、肥胖病人等特殊病患也能提供较好的诊断支持。


EPIQ7超声诊断系统可满足心脏、肝脏、胆囊、胰腺、脾脏、泌尿系、妇科、产科、甲状腺、乳腺、肌骨、神经等多种脏器、多个部位疾病的检查需求与临床诊治需求。随着我国心血管老年病人和心血管疾病的年轻化趋势愈发严重,飞利浦EPIQ7在心脏、血管应用领域,能为医院和患者带来更精准和优质的诊断服务。
EPIQ7具有先进的应变弹性和剪切波弹性成像技术,在疾病的诊断、治疗及预后随访中提供了丰富的信息,可以用于肝脏、肾脏、甲状腺、乳腺、心脏、子宫附件、前列腺等脏器疾病的诊断,并为占位性病变的良、恶性鉴别提供更多有价值的信息,提高超声诊断率。
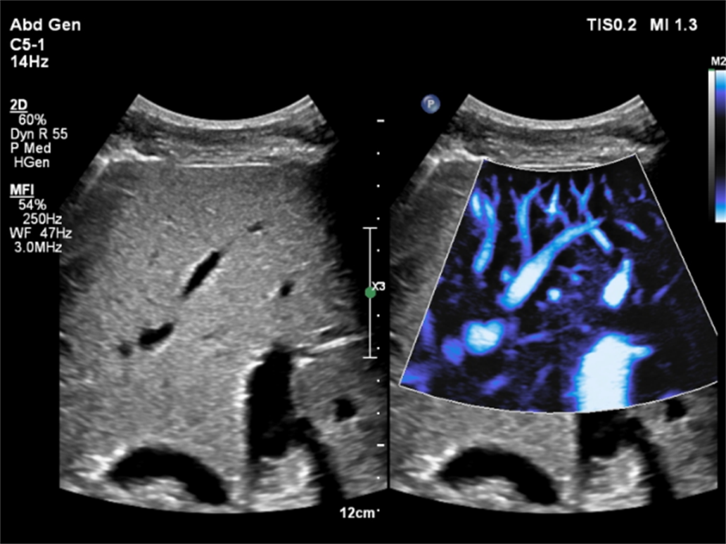
EPIQ7设备所采用的C5-1探头融合了差异校正技术的新研发成果,在降低表浅脂肪组织影响的同时提高了深层区域的分辨力,应用大大改善图像质量的纯净波技术,40cm的穿透深度,带来前所未有的视觉体验。100度拓展成像扇角,可以获取更多的图像信息,减少误诊和漏诊,大大缩短检查时间。临床实用性和人体工程学同样是C5-1探头的设计要素。C5-1探头厚度设计精准纤薄,确保能获得优异的肋间声窗,对所有患者都能提供优质的成像性能和方便舒适的可操控性。

EPIQ7设备所采用的S5-1纯净波单晶体相控阵探头适用于心脏、血管、小器官、腹部、盆腔等检查,具有纯净波技术探头材料所带来的优异图像品质,支持全面的心脏定量;高穿透力腹部成像对于小声窗的腹部扫查具备独特优势;优异的穿透力可以为临床提供优异的颅内血流扫查成像及定量。
EPIQ7具备联合影像诊断技术。在日常诊断工作中经常需要和其它影像进行对比研究,EPIQ系统可以直接导入多种格式的图像,包括CT,MR,乳房X线,超声图像等;可以无需任何外部软件从EPIQ上调取以前的多种格式图像和超声图像进行对比研究,无论是实时扫描,还是存储的超声图像均可轻松调取多种格式图像进行对比。


EPIQ7超声诊断系统的引进并投入使用,将有效提升医院的整体医疗质量和水平,对于强化医院专业优势、提升综合竞争力具有十分重要的意义。该设备的投入使用必将极大地提高医院超声诊断水平,丰富检查技术及方法,为临床提供更丰富准确的诊断依据,为患者提供更优质的医疗服务。
官微二维码 |
预约挂号 |
呼伦贝尔市心理援助平台 |
呼伦贝尔市孕婴幼心理健康平台 |

无假日医院